When distalization hits a hard limit

What do you do when distalization is the right call, but third molar germs are right in the way?
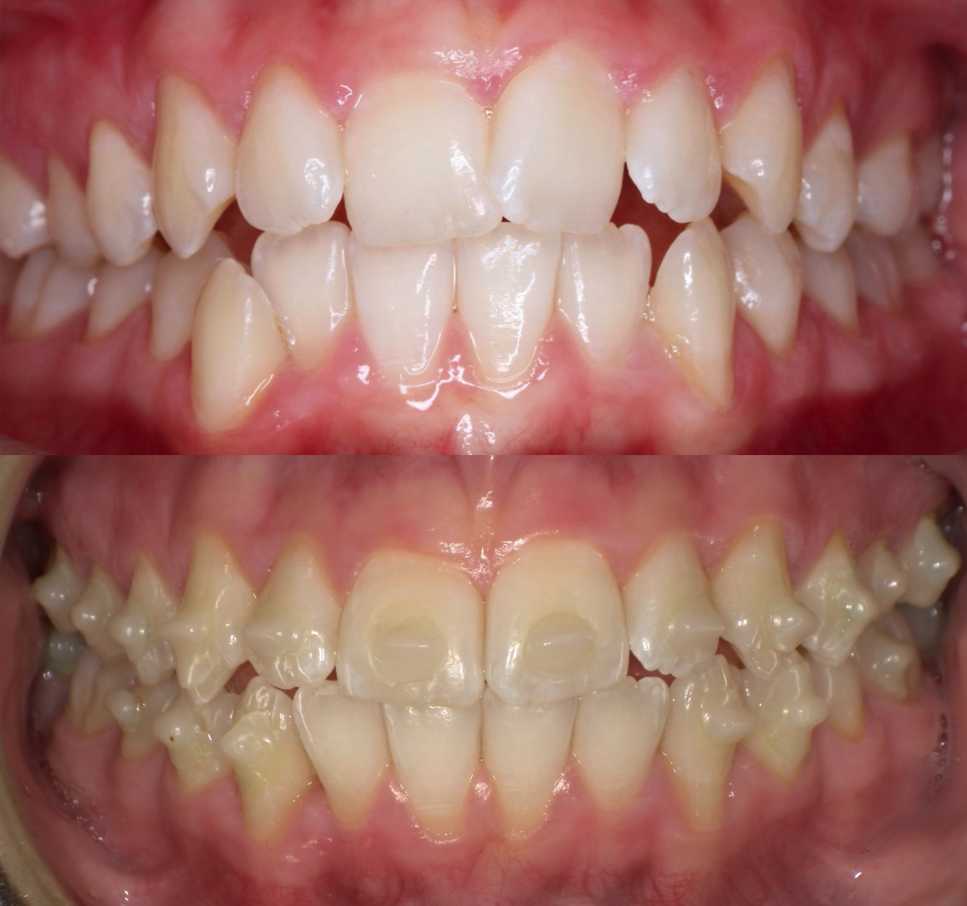
A teenage patient, canine out of the arch, no space. IPR wasn't on the table. Distalization in one quadrant was the plan.
But the third molar germ was sitting exactly where the movement needed to go.
This is the kind of situation where planning on a panoramic alone isn't enough. You need to see the real boundary, not estimate it.
With CBCT integration in 3D Predict, the treatment planner could visualize exactly where the germ was and set the distalization limit precisely at 1mm, strictly up to the germ. Nothing more.
The canine found its place in the arch. Controlled movement, clear boundaries, no guessing.
CBCT integration doesn't just add detail. It lets you make decisions you otherwise wouldn't feel confident making.
Is this a feature you'd use in complex cases like this?👇
‍